- XR52
Film Scanner

XR52

 

Model: MD300 
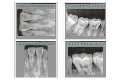
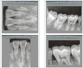
USB Dental X-Ray film digital viewer (zoom)

Features:

*MD-300 model can be designed to enlarge the X-Ray film 50 times of images. 
*It can be transmitted images into PC directly via USB cable and then the images will transfer to digital one immediately.

*It can read any standard dental X-Ray film and arrange the entire mouth teeth position chart with the software.

*Can make tube of teeth measuring, angle of teeth measuring, partly enlargement and fringe reinforcement all will be available.
*Can be adjusted image contrast, lightness and color.
*Images can be treated to be blurred, sharpened, reverse and false colorized.

*Each teeth position sequence number can be showed when pressing standard overview oral teeth position picture.
*Can make image of X-Ray film be transferred, saved and adjusted.

*It can transform correlative data into compact disc in order to be stored.
Film Scanner
Film Scanner

Film Scanner

Film Scanner

Film Scanner

Film Scanner